어느 새 임신 9주차 ! 세번째 정기검진

6주차에 임신인 걸 확인하고, 일주일 뒤인 7주차에 아기집 안에 아기가 빼꼼 자란 걸 확인했다.
무려 0.8cm! ㅋㅋ 도마뱀같았던 우리의 아가.
드물게 피비침도 있었어서 다음 정기검진일까지 마음이 조마조마했던 날들.
2022.06.18 - [모나씨 즐거운하루/임신기록] - [임신 7주] 임신 초기 피비침, 피고임, 질정과 유산방지주사, 그리고 시댁 임밍아웃
[임신 7주] 임신 초기 피비침, 피고임, 질정과 유산방지주사, 그리고 시댁 임밍아웃
임신 초기 피비침, 자궁주변 피고임 임신 7주 3일차. 여느 때처럼 화장실에서 작은 볼일을 보고 휴지로 닦는데, 응? 피다..? 갈색 피가 묻어나왔다. 냉이 섞인 피.. 아주 약간의 선홍색 피가 섞인
deepblog.tistory.com
그리고 2주일 뒤인 9주 +4일, 기다리던 세번째 정기검진일.
기다리는 2주가 얼마나 길었는지.. 그리고 아가가 잘 있는지 어찌나 걱정되던지!
그리고 아기가 얼마나 컸을지도 너무 궁금했다.

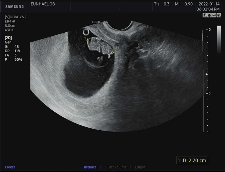
헤헷, 짜잔~!
귀여운 젤리곰 보고 가세요~~

요랬던 도마뱀에서

무려 2등신의 젤리곰이 되었다 '^'!!
뿌ㅡ듯.
머리 위에 동그란 난황 도시락도 아주 야무지게 잘 가지고 있는 우리 젤리곰♡
진짜 너무너무 귀여워서 초음파 영상에서 눈을 떼지 못했다.
키는 0.8cm에서 무려 1.2cm나 자란 2.2cm!
2주 동안에 거의 3배 가까이 자란 기특한 내새꾸ㅋㅋㅋ 이렇게 고슴도치가 되나보다..
저 하찮은 팔다리 꼼지락 거리는거 넘나 소중하고요...

심장소리 듣기.
박동수도 우렁차서 175~177bpm을 왔다갔다.
9주 무렵 태아의 평균 심장박동수는 155~195bpm이라고 한다. 정상 성인보다 훨씬 빨리 뛰는 것이 정상임! 아주 평균치의 박동수를 보여주고 있는 건강한 우리 아가. 참 감사하고 또 감사하다. 우렁찬 쿠구 쿠구 박동소리 들으니 또 맴이 찡.. 기특하다 기특해.

맘카페 글들을 보면 보통 8주차에 젤리곰을 봤다는 글들이 많은데, 우리 아가는 착상이 1주일 늦어서 살짝 늦은 9주 4일차에 귀여운 2등신 하리보가 되었다. 더 초기에는 일주일씩 크기가 작은 우리 아기가 걱정됐었는데, 이제 그런건 아무래도 상관없다. 꾸준히 열심히, 제 힘껏 잘 크고 있는 아기가 느껴져서 그런 걱정은 하지 않아도 되겠다는 안도감이 절로 들었다. 무엇보다 우렁찬 심장소리가 '엄마 걱정하지 마세요 나 잘 크고 있어요, 나는 강해요!' 라고 말해주는 것 같아서 무지 대견하고 나 스스로를 다잡게 되었다.
우리 아가 태명, 꿀잠이 :)
병원에서 돌아오는 길엔 기분이 너무 좋았다.
너무 귀여운 젤리곰도 보고, 건강하고 힘찬 심장소리를 들어서인지 이렇게 기특하고 대견하고 뿌듯할 수가 없었다. 아가가 이렇게 건강해주니 엄마인 나도 힘내서 입덧도 이겨내고 피비침 같은것도 다 이겨낼 수 있을 것 같았다.
햇볕이 좋았던 1월의 어느 날, 남편과 손잡고 산책하면서 우리 아가 태명에 대해 생각했다. 우리 아가가 태어날 해는 '흑호랑이의 해'. 그래서 '호'가 들어가는 태명들을 많이 짓는 것 같았다.
예를 들면, 호빵이, 호떡이, 호야 등등.
왠지 우리만의 태명같지가 않아서 한참을 고민하다 결국 후보에 오른 것은 '행복이'.
너무 무난한가 싶었지만 우리가 추구하는 모든 것의 귀결이 결국은 '행복'이었기에.. 그렇게 태명이 결정되는가 싶었는데! 뭔가 2%가 부족해서 잠정 보류되었다.
그리고 나서도 끝나지 않은 태명짓기...
ㅎ ㅏ.. 태명짓기가 이리도 힘들었단 말인가.
후보로 거론되었던 태명들.
뽀뽀구 또는 뽀구 (뽀뽀하고싶고 보구싶은, 이건 우리가 서로를 부르는 별명이라 패스)
뽀뇨 (내가 벼랑위의 포뇨를 닮아서, 남편은 소스케를 닮았다)
행복이 (잠정적 후보 1위)
따상이 또는 떡상이 (따상 가즈아! 어감이 속물스러워서 패스)
로또 (이것도 역시 속물스러워서 패스)
그러다 문득, 자려고 누웠는데 남편이 꺼낸 '꿀잠이'
꿀잠이를 듣는 순간, 이거다 싶었다. 꿀잠이다, 우리 아가는 꿀잠이야!
하루가 행복하고 즐거워야 꿀잠을 잘 수 있어. 그리고 꿀잠을 자고 일어나면 다음날도 기분좋게 일어날 수 있지. 무엇보다 잠이 보약이잖아? 그리고 아가라면 무엇보다 꿀잠을 쿨쿨 자는게 제일 큰 효도지!
잘~ 자라고, 태명은 꿀잠이!
아빠 별명인 '꿀꿀이'와 엄마 별명인 '잠팅이'를 합쳐서 '꿀잠이'인 것도 돼.
다 맞아 떨어지는, 아주 딱 떨어지는 태명이야
잘 자고, 잘 자라라, 우리 꿀잠이♡ 최꿀잠♡
'모나씨 즐거운하루 > 임신기록' 카테고리의 다른 글
| [임신11주] 임신 11주 증상, 몸무게 증가 (지금 나오는 배는 엄마똥배에요) (0) | 2022.06.20 |
|---|---|
| [임신10주] 10주 증상, 산전검사 결과, 질내 염증 소독, 체덧->먹덧으로 가는중, 베프에게 임밍아웃 (0) | 2022.06.20 |
| [임신 7주] 임신 초기 피비침, 피고임, 질정과 유산방지주사, 그리고 시댁 임밍아웃 (2) | 2022.06.18 |
| [임신 8-10주] 본격 입덧 시작, 먹덧+체덧+토덧, 입덧을 부추기는 영양제 (0) | 2022.06.18 |
| [임신 7주] 임신 7주 증상, 입덧 시작, 회사에 임밍아웃하기, 임신초기 단축근로 시작! (0) | 2022.05.26 |