임신 초기 피비침, 자궁주변 피고임
임신 7주 3일차.
여느 때처럼 화장실에서 작은 볼일을 보고 휴지로 닦는데, 응? 피다..?
갈색 피가 묻어나왔다. 냉이 섞인 피.. 아주 약간의 선홍색 피가 섞인 갈색냉?
뭐지 싶어 갈색냉이 안 묻어나올 때까지 닦고 또 닦고..
다행히 계속 나오진 않았지만 약간의 패닉 상태.
네이버 검색검색. '임신 초기 피비침', '임신 초기 갈색냉' 등등..
임신 초기에 피비침과 갈색냉을 겪는 사람들이 너무나도 많았지만, 왜 나오는 것인지, 괜찮은건지 안괜찮은건지 병원에 가야하는지 움직이지 말아야하는지 정답은 하나도 없었다.
나는 피가 나온 것은 처음이라 걱정스러운 마음에 남편에게 말했다.
내일 아침 일찍 경북 고령 시댁에 가기로 되어있었지만 이 걱정되는 마음을 안고 시부모님을 웃으며 볼 자신이 없고, 또 어떤 일이 생길지 모르는데 섣불리 임밍아웃할 수 없을 것 같았다.
다음 날 아침 일찍 병원에 가보기로 하고, 잠이 들었다.

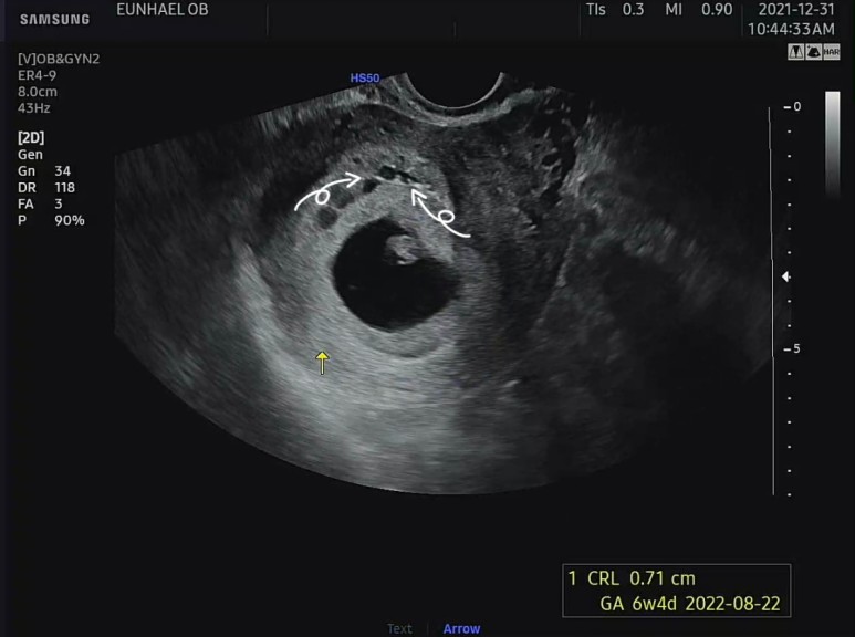
아침 일찍 병원에 가서 질 초음파를 하고, 우선 아기가 잘 있는지 확인했다
아가는 심장도 잘 뛰고 다행이 아주 건강했다. 이틀 전에 병원에서 도마뱀 모양의 초음파를 봤었는데, 이틀 전 모양과는 또 다른 모양의 아기가 초음파 속에 있었다. 아기집도 그새 좀 더 커져 있었다.

초음파 상에서 자궁벽 주변으로 피고임이 보였다.
피가 왜 고인 것인지는 선생님도 알 수 없다고 하셨다. 직장인인지 묻고, 임신 초기에는 무리하면 안된다며 최대한 안정을 취해야한다고 하셨다. 피비침이 계속 되면 직장을 그만둬야 할 수도 있다고 하셨다. (안좋은 상황일 경우)
질 내부에 염증기가 있어서 질정을 2개 처방받고, 유산방지주사를 엉덩이에 맞았다.
유산기가 있는거냐고 묻자, 피비침이 있다는 것은 유산기가 있다는 거라고 하셨다.
어디선가 유산방지주사를 맞은 이력이 있으면 태아보험 가입이 안될 수도 있다는 글을 보았던 게 떠올라서 마음이 너무 심난했다. 돌아오는 길에 남편 손을 잡고 '태아보험 못든대ㅜㅜ' 하며 잉잉 울어버렸다.
(추가. 태아보험은 아무 문제없이 잘 들었다! 유산방지주사 1회 맞았다고 태아보험 못드는거 아니니 걱정마세요)
피가 또 나면 병원에 오라고 하셨지만, 그 기준은 생리혈 처럼 선명한 피가 나올 때!
고였던 피가 냉에 섞여서 갈색냉처럼 소량 나오는 것은 괜찮다고 하셨다.

시댁에 임밍아웃!
걱정스러운 마음와 그래도 아가가 잘 있으니 왠지 다행스러운 마음을 함께 안고
예정되어있던 시댁 행을 취소할 수 없어 조수석에서 거의 누워서 갔다.
아직 7주 밖에 안되어서 말씀드리기는 조심스러웠지만..
그래도 아가 심장이 잘 뛰고 있으니, 시부모님께 새해선물 임밍아웃 :)

할머니 할아버지 되신 것 축하드린다고 케익 준비해갔는데, 어쩐지 우리가 초를 끄고 축하를 받았다.
어머님은 살짝 눈물도 보이시고 아버님은 아직 형체도 알 수 없는 아가의 초음파 사진을 보고 또 보셨다.
시댁에서 스트레칭 하다가 또 물컹하고 피가 살짝 비쳐서 바로 눕눕행.
어머님께는 피비침은 말씀 안드리고 그냥 속이 안좋다고 했다. 어머님은 나 벌써 입덧하는 줄 알고 걱정걱정.
아가야, 우리 건강히 잘 있자!!
'모나씨 즐거운하루 > 임신기록' 카테고리의 다른 글
| [임신10주] 10주 증상, 산전검사 결과, 질내 염증 소독, 체덧->먹덧으로 가는중, 베프에게 임밍아웃 (0) | 2022.06.20 |
|---|---|
| [임신 9주] 3번째 정기검진, 9주차 젤리곰♡, 9주 심장박동, 흑호띠 아기 태명 짓기 (0) | 2022.06.18 |
| [임신 8-10주] 본격 입덧 시작, 먹덧+체덧+토덧, 입덧을 부추기는 영양제 (0) | 2022.06.18 |
| [임신 7주] 임신 7주 증상, 입덧 시작, 회사에 임밍아웃하기, 임신초기 단축근로 시작! (0) | 2022.05.26 |
| [임신 6주차] 임신 극초기 증상, 임신확인서 발급받기, 주수 계산하는 법. 네이버 주수계산은 맞지 않을수도 있어요 (0) | 2022.05.23 |